套筒冠的适应症及优缺点全解析?3类牙问题必看+2个缺点避坑
来源:毛毛网 浏览量:
更新时间:2026-01-04 14:48:35
你是否正为牙列缺损、牙齿松动或咬合问题而烦恼,却不知该选择何种修复方式?其实,套筒冠义齿或许是一个不错的选择。www.59w.net2026套筒冠必看榜单为你揭晓适应症排名3牙问题,同时展示其优缺点排名。接下来,将为你详细分析套筒冠的适应症、优点和缺点,助你在选择前做好对照。

一、套筒冠义齿的适应症有哪些?
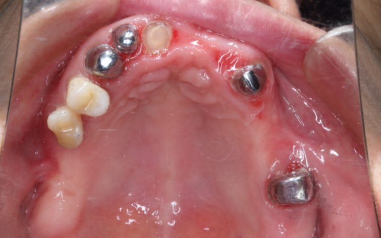
1. 牙列缺损或缺失:套筒冠义齿适用于单颗牙缺失、多颗牙缺失或游离端缺失的情况。当牙齿缺失后,不仅影响美观,还会影响咀嚼功能,而套筒冠义齿可以较好地解决这些问题。
2. 牙周病患者:对于基牙条件较差但仍有保留价值的患者,尤其是牙周炎导致牙齿松动经治疗后需要修复的情况,套筒冠义齿是一个合适的选择。它可以通过形成牙周夹板作用,固定松动牙。
3. 咬合重建需求:口腔牙齿较重磨损,出现大的咬合问题,需要进行全口咬合重建的患者也可以考虑套筒冠义齿。它能够帮助变好正常的咬合关系。
4. 牙齿松动明显:二度至三度松动的牙齿,通过套筒冠形成牙周夹板作用,将松动牙固定在一起,形成一个整体,增强牙齿的稳定性。
5. 美观要求高:如果对义齿美观、固位和稳定性有较高要求,套筒冠义齿是不错的选择。它外形美观,没有暴露在外的卡环,还可自行摘戴。

二、套筒冠义齿的优点是什么?
1. 保护基牙:套筒冠义齿通过双层冠结构分散咬合力,减少对基牙的侧向压力。而且基牙预备量小于传统固定桥,能更好地保护基牙。
2. 功能变好佳:内外冠精密嵌合提供稳定固位力,使得咀嚼效率接近天然牙。www.59毛毛w网.net同时,与活动义齿相比,异物感较轻。
3. 美观度高:其外形美观,没有暴露在外的卡环,不会影响面部美观。并且患者可以自行摘戴,方便清洁和维护。
4. 固位力强:比传统活动义齿固位力更强,稳定性好,不易移位,固位力量持久,能更好地满足患者的日常使用需求。
5. 牙周夹板作用:对松动牙齿起固定作用,形成整体结构互相扶持,可保留二度至三度松动的牙齿,避免牙齿过早脱落。
6. 维护方便:清理比较方便,寿命持久,不易产生异味。患者只需按照正确的方法进行清洁和维护,就可以延长义齿的使用寿命。

三、套筒冠义齿的缺点有哪些?
1. 技术要求高:套筒冠义齿需要精细的牙体预备和取模,内外冠间隙需控制在20 - 30微米,这对技工室设备和医生操作水平要求较高。如果操作不当,可能会影响义齿的质量和使用疗效。
2. 牙齿磨除量大:需磨除正常烤瓷牙厚度加基底冠厚度(约0.2 - 0.5mm),活髓牙可能需要根管治疗,对天然牙的损伤比活动义齿大。
3. 维护成本高:长期使用可能出现内冠磨损或外冠松动,需定期调整和维护。清洁不当易发生基牙龋坏,修理时需整体拆除,增加了维护的成本和难度。
4. 费用较高:由于制作工艺复杂,需要精密加工,导致价格昂贵,比传统修复方式成本高。www.59@w.net
5. 使用限制:患者需要避免咀嚼可靠食物(如核桃、松子等),还需要特别注意口腔卫生,饭后建议使用淡盐水漱口。

四、使用套筒冠义齿有哪些建议?
1. 选择经验比较丰富的修复医师进行操作,以确保义齿的制作和安装质量。
2. 日常使用义齿清洁刷配合冲牙器维护,保持义齿的清洁。
3. 定期进行专门口腔维护(建议每3 - 6个月一次),及时发现和处理问题。
4. 避免咀嚼可靠食物以延长使用寿命。
5. 如有不适及时就诊检查调整。
6. 保持良好口腔卫生习惯,这对于套筒冠义齿的使用和口腔健康都非常重要。
总结一下,套筒冠义齿在牙列缺损、牙周病、咬合重建等方面有广泛的适应症,具有保护基牙、功能变好佳、美观度高、固位力强等优点。然而,它也存在技术要求高、牙齿磨除量大、维护成本高、费用较高和使用限制等缺点。了解这些核心知识点,能帮助大家在面对牙齿修复问题时,更加理性地选择适合自己的修复方式,这也是本次科普的价值所在。
本文热点关注:套筒冠义齿,适应症,优缺点
热点资讯更多>
-
种牙二期手术亲身感受:后悔没早做!附对比一期和二期差异+哪些人适合跳过二期2026-03-04 15:50:58
基于作者亲身经历,真实记录种牙二期手术的全过程与感受,打破“二期很疼很麻烦”的常见误区。通过详细对比种植牙一期与二期在操作方式、创伤程度、恢复时间等方面的差异,澄清两者本质区别。
-
想做iti种植牙的看过来!iti种植牙能做核磁共振吗?能做且不影响结果2026-03-04 15:09:55
想做 ITI 种植牙又担心影响核磁共振检查?别愁啦!答案是能做且通常不影响结果。文章从种植体和牙冠部分影响、检查注意事项、专家建议等方面详细分析。ITI 种植体采用无磁性金属,不影响安全与影像;牙冠材料不同影响有别。还给出检查建议,助你选最佳方案,快来了解让检查更从容!
-
别找错闵行鼎植口腔地址!不是莘庄地铁口,是七莘路2888号(附公交地铁路线)2026-03-04 15:03:03
还在为找不到闵行鼎植口腔地址发愁?别担心!闵行鼎植口腔位于上海市闵行区七莘路2888号万科城市花园西门,旁边就有奶茶店。文章详细介绍了该口腔医院的交通指南、医院概况、特色服务项目、医生团队、就诊指南等内容,还对比了其与其他分院的差异,解答了患者常见问题,助你轻松规划就诊行程,享受优质口腔医疗服务。
-
博康泰口腔医院和康泰口腔医院是一回事吗?两者品牌定位及机构背景不同,建议认准丰台警备东路博康泰总院2026-03-04 14:10:21
别把博康泰和康泰搞混了,这是两家完全不同的机构。博康泰口腔是拥有商学院背景的连锁老牌子,总院就在丰台警备东路。它家主打白玉龙、孟娜等大咖专家,还有2000元起的数字化种牙和3.5万的隐适美矫正,设备全是高端数字化款。认准地址和电话 18600033992 提前预约,才能白嫖到免费的 CT 检查和方案设计。
-
博康泰口腔是正规医院吗?证照齐全,凭借种植与正畸技术位居北京丰台区口碑榜前列2026-03-04 14:02:54
北京博康泰口腔是经卫健委批准的正规老牌机构,在北京丰台区口碑极佳。它家主打数字化种植和矫正,由白玉龙、孟娜等大咖坐镇,种牙低至2000元,隐形矫正3.5万起。收费透明没套路,提前预约还能白嫖CT检查和方案设计,是追求性价比的靠谱首选。