套筒冠义齿好不好?从定义、优缺点、适应症与禁忌症、使用注意事项等方面分析
来源:毛毛网 浏览量:
更新时间:2025-12-31 11:54:38
套筒冠义齿到底好不好呢?很多人在牙齿修复时都会有这样的疑问。www.59w.net有人说和固定桥比,不磨邻牙还能用5年没松动超值得。其实套筒冠义齿有它独特的优势,但也并非十全十美。接下来我们就从定义组成、优缺点、适应症与禁忌症以及使用注意事项等方面,来综合分析套筒冠义齿好不好。

一、套筒冠义齿是什么,它是如何组成的?
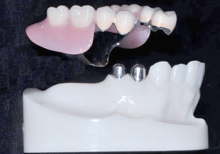
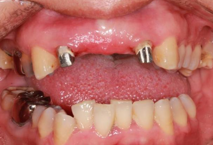
套筒冠义齿是指用套筒冠作固位体的可摘义齿,属于一种比较复杂的修复体方式。它由内冠和外冠两部分组成。具体来说:
1. 内冠会粘固在基牙上,就像是给基牙穿上了一层“保护衣”。
2. 外冠与义齿其他部分连接成整体,通过内外冠之间的嵌合作用产生固位力,从而让义齿能够稳定地待在口腔中。

二、套筒冠义齿好不好,它有哪些优点呢?
套筒冠义齿有不少突出的优点,这也是很多人选择它的原因:
1. 固位稳定性强:和传统活动义齿相比,它的固位力更持久,在日常使用中不易出现移位或脱落的情况,能让患者更放心地使用。
2. 美观性较好:与活动义齿相比,套筒冠义齿外观与真牙相似,不会像一些传统义齿那样明显看出是假牙,在美观度上有较大提升。
3. 咀嚼功能变好好:它能承担较大的咀嚼压力,可大大提高咀嚼能力和效率,让患者能更好地享受美食。
4. 牙周保护作用:对于患有牙周病且牙齿松动的情况,套筒冠义齿疗效特别好,它具有牙周夹板作用,能将咀嚼时产生的颌力分散,减轻对个别牙齿的压力。
5. 适应范围广:对基牙稳定性要求比传统卡环低,就算是较松动的牙齿也可选用这种义齿进行修复。
6. 舒适度高:佩戴时异物感、对味觉和发音的影响都比较小,义齿动度小,也不易引起黏膜疼痛,能给患者带来较好的使用体验。

三、套筒冠义齿好不好,它存在哪些缺点呢?
当然,套筒冠义齿也并非较美无缺,它也有一些不足之处:
1. 牙体预备量大:在安装套筒冠义齿时,需要较多的牙齿磨除,这可能会让一些患者不太能接受。
2. 美观局限:金属内冠暴露可能会影响美观,在牙颈部还会有金属颈缘线,对于一些对美观要求极高的患者来说可能不太满意。
3. 使用不便:义齿取下后会影响咀嚼、发音功能,所以在日常生活中如果需要取下义齿,会带来一些不便。59~&w.net
4. 维护要求高:需要患者定期进行口腔检查,并且要保持良好的口腔卫生,否则容易出现口腔问题。
5. 成本较高:由于需要定制金属套筒和进行精密的安装过程,所以整体成本相对较高。
6. 潜在风险:金属套筒可能对邻近牙齿造成一定压力,长期使用可能会影响牙齿健康。

四、套筒冠义齿适合哪些情况,又有哪些禁忌呢?
在考虑套筒冠义齿好不好时,了解它的适应症和禁忌症很重要:
适应症方面:
1. 多数牙缺失,少数牙余留的牙列缺损修复。
2. 颌关系不正常需进行颌重建与修复的情况。
3. 牙周病及其伴有牙列缺损的修复。
4. 先天性牙列缺损的修复。
5. 颌骨缺损的修复。
6. 传统活动假牙修复疗效较差的患者,如游离缺失或缺失牙较多的情况。
禁忌症方面:
1. 牙周病未治疗的情况,因为在这种情况下安装义齿可能会加重病情。www.59毛毛网w.net
2. 伸长、倾斜有活力的牙齿,这类牙齿不适合安装套筒冠义齿。
3. 年轻恒牙列,由于恒牙还在发育阶段,不适合进行这种修复。

五、使用套筒冠义齿有哪些注意事项呢?
为了让套筒冠义齿更好地发挥作用,使用时需要注意以下几点:
1. 饮食调整:初戴时应保持清淡易消化饮食,避免可靠或黏性太大的食物,以免损伤义齿或对基牙造成过大压力。
2. 清洁维护:晚上睡觉前可摘下来清理,第二天重新佩戴,保持义齿的清洁卫生。
3. 定期检查:要定期到医院进行检查,确保义齿适合并保持良好口腔卫生。
4. 及时就医:如果在使用过程中出现任何不适或问题,应及时就诊,让医生进行处理。

六、医生对套筒冠义齿有哪些看法呢?
多位医生对套筒冠义齿发表了自己的观点:
张雷医生医师认为套筒冠义齿对牙周病松动的牙齿疗效特别好,能起到牙周夹板作用。武媛副医生医师指出套筒冠义齿稳定性高,但成本较高,需注意长期对邻牙的影响。邬利波主治医师提到与传统活动假牙相比,套筒冠义齿动度小、咀嚼功能更高、患者感觉更舒服。
综合来看,套筒冠义齿有优点也有缺点,好不好要根据个人的具体情况来判断。它在固位稳定性、美观性、咀嚼功能等方面有突出表现,也有适应的人群和情况,但同时也存在一些缺点和使用禁忌。在选择是否使用套筒冠义齿时,患者应充分了解其相关知识,并与医生充分沟通,结合自身口腔状况和需求来做出合适的选择。希望通过以上科普,能让大家对套筒冠义齿有更全方面的认识。
本文热点关注:套筒冠义齿,优缺点,使用注意事项
热点资讯更多>
-
晋城百年口腔价目表2026解析:从29元洁牙到5.5万全口种植,涵盖正畸/修复/儿牙!建议收藏备用2026-03-10 15:41:06
晋城百年口腔作为本地知名连锁机构,2026年价目表全面更新:超声波洁牙低至29元起,国产种植牙2600元/颗起,隐形矫正15800元起,儿童涂氟仅99元。文章系统梳理其六大类项目价格明细、医保使用规则、优惠渠道及就诊建议,信息源自官方公示与患者实测,助您明明白白看牙、精打细算省钱。
-
常德好大夫口腔医院在什么位置?别再问了!地址+营业时间+预约方式全在这篇2026-03-10 15:26:55
文章详细整理常德好大夫口腔医院两家院区精准地址、交通路线、营业时间、预约渠道及就诊须知,覆盖种植牙、矫正、儿牙等热门项目,帮常德市民快速找到正规口腔机构,高效看牙不跑空、不排队,一站式解决口腔问题。
-
常德好大夫口腔靠谱吗?对比了常德5家热门口腔机构,它家复诊率高2026-03-10 15:11:50
常德好大夫口腔靠谱吗?从医生资质、价格透明度、消毒感控、服务细节及患者复诊率五个维度进行深度横向测评。经过对数百份真实就诊数据及患者回访的梳理,我们发现常德好大夫口腔凭借极高的“老带新”比例和惊人的患者复诊率,在口碑实战中脱颖而出。
-
为什么医生不推荐你做peek假牙?或许是因为适应症要求不达标,听听口腔医生的避坑建议2026-03-10 15:07:59
PEEK假牙虽好,但若咬合力过大、基牙松动或诊所数字化设备落后,医生通常不建议强行尝试。这种材料必须配合口内扫描精确定制,否则容易松动不贴合。它单颗修复不磨牙、全口佩戴极轻且不含金属,只要选对有数字化实力的私立口腔,避开技术门槛,确实是目前舒适度天花板级的选择。
-
听说东莞牙状元口腔免费种牙是真的吗?2026种牙新政解读,看你符合申请门槛吗2026-03-10 11:42:59
东莞牙状元口腔免费种牙活动确有其事,是响应国家卫健委号召的公益项目,主要面向60岁以上本地户籍老年人及经济困难群体。免费通常指首颗种植体免费,其他费用需自费。