套筒冠和精密附着体哪个更好?从基本概念/优缺点/临床数据/适用人群等方面分析
来源:毛毛网 浏览量:
更新时间:2025-12-29 16:24:05
牙齿缺失后,很多人在选择修复方式时会纠结于套筒冠和精密附着体,到底哪个更好呢?其实,实测对比发现,年轻人选附着体,老人选套筒冠。www.59w.net不过这也不能一概而论,具体还得结合个人口腔状况。接下来,我们将从基本概念、优缺点、临床数据、适用人群等方面详细分析套筒冠和精密附着体哪个更好。

一、套筒冠和精密附着体的基本概念是怎样的?
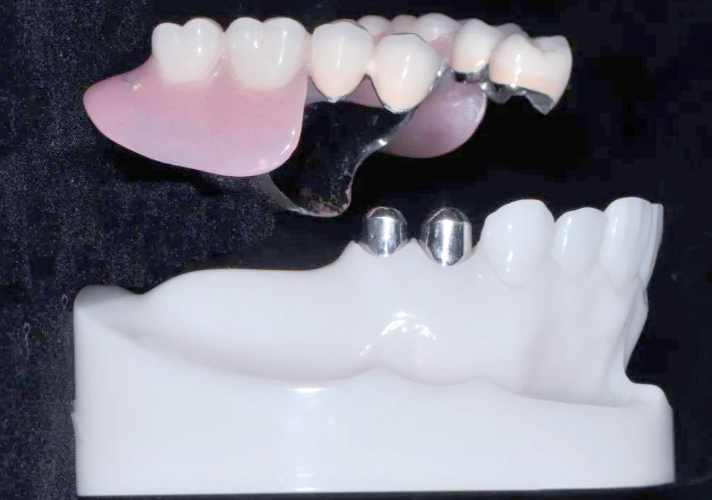
1. 套筒冠:它是由内冠和外冠组成的双重冠结构。其固位原理是通过内冠与外冠之间的摩擦作用产生固位力。适用于后磨牙缺失但不想看到挂钩、余留牙形态不佳不适合做挂钩假牙、前牙大面积缺损需要做牙套以及牙周病治疗后需要牙周夹板疗效的情况。
2. 精密附着体:主要类型有套筒冠附着体(双套冠)、MK1 精密附着体、栓道式精密附着体、球形精密附着体(快套式)、太极扣、磁性附着体等。它是通过精密机械连接装置提供固位。

二、套筒冠和精密附着体的优缺点对比如何?
1. 优点对比: - 套筒冠:将活动义齿易清洁的优点与固定义齿功能变好好的长处结合,体积小,美观舒适,几乎不露金属,对牙周维护更健康,可自行摘戴,易于清洁,还可做咬合重建和牙齿美容修复,特别适合牙周病治疗后修复。 - 精密附着体:固位力强,稳定性好,能较美变好缺失牙功能,基托面积小,异物感小,美观不露金属,方便患者自行清洁,适用范围广,从单颗牙到多颗牙缺失都适用。
2. 缺点对比: - 套筒冠:制作工艺复杂,对医生和技工技术要求高,需要昂贵进口设备,治疗费用较高,对基牙条件要求也较高。www.59~-w.net - 精密附着体:部分类型对基牙要求较高,维护成本较高,某些类型固位力可能随时间减弱。

三、套筒冠和精密附着体在临床研究数据上有什么差异?
1. 牙周炎患者修复疗效对比:套筒冠组术后 36 个月牙周指标(PTV、GI、PD、CAL)改善较明显,且套筒冠组咀嚼效率、稳固性及满意度均高于精密附着体组。
2. 联合应用疗效:精密附着体 + 套筒冠联合修复组患者满意度达 93.93%(固定功能、舒适性等),联合修复组基牙松动率(39.39%)显著低于单纯套筒冠组(72.72%)。

四、套筒冠和精密附着体分别适合哪些人群?
1. 推荐套筒冠的情况:牙周健康状况不佳、需要牙周夹板疗效、对美观要求极高且基牙条件尚可的人群。
2. 推荐精密附着体的情况:基牙数量较少、游离端缺失、需要调节固位力、经济预算有限的人群。
3. 推荐联合应用的情况:复杂牙列缺损、既有牙周问题又有多个牙缺失、对修复疗效要求极高的人群。

五、使用套筒冠和精密附着体有哪些注意事项?
1. 两种技术都需要经验比较丰富的医生操作,这样才能可能会修复疗效。m.59&w.net
2. 修复后需要定期维护和复查,及时发现并处理可能出现的问题。
3. 口腔卫生维护至关重要,良好的口腔卫生能延长修复体的使用寿命。
4. 应根据具体口腔条件和预算选择合适的修复方式。
5. 部分复杂病例可考虑联合应用,以达到更好的修复疗效。
综上所述,套筒冠和精密附着体各有其优势和劣势,哪个更好不能简单判定,需要综合多方面因素考量。通过了解它们的基本概念、优缺点、临床数据、适用人群和注意事项等知识,能帮助大家在面对牙齿修复时做出更合适的选择,这就是本次科普的价值所在。
本文热点关注:套筒冠,精密附着体,牙齿修复
热点资讯更多>
-
张家港鼎植口腔门诊地址在杨舍镇!口碑评分4.8,顾客说医生耐心技术稳2025-12-29 16:50:18
张家港鼎植口腔位于苏州市张家港市杨舍镇长安路116号,提供透明收费和专业服务。种植牙国产创1880元/颗起,瑞士ITI5898元/颗起;矫正价格金属托槽7990元起,隐适美47600元起。门诊拥有VIIV穿颧穿翼种植专利技术,数字化正畸精准高效,医生团队经验丰富。特色服务包括24小时急诊、终身维护制度,设备先进,消毒严格。无论是种牙还是矫正,选择正规机构、了解详细方案、遵循医嘱护理,才能获得理想效果。
-
宁波德立口腔是正规医院吗?3家分院均持证经营,资质齐全(不是莆田系)2025-12-29 16:24:12
想知道宁波德立口腔是正规医院吗?答案是肯定的,其3家分院均持证经营。该机构价格亲民,技术先进,配备先进设备,治疗创口小、效率高。医生团队专业,经验丰富。有口腔需求的可考虑,建议提前了解分院信息和价格。
-
套筒冠和精密附着体哪个更好?从基本概念/优缺点/临床数据/适用人群等方面分析2025-12-29 16:24:05
牙齿缺失后,套筒冠和精密附着体选哪个好?实测显示年轻人可选附着体,老人可选套筒冠,但不能一概而论。文章从基本概念、优缺点、临床数据、适用人群等方面详细对比,指出二者各有优劣,需综合口腔状况、预算等多因素考量。还给出使用注意事项,助你在牙齿修复时做出更合适选择,快来一探究竟!
-
宁波德立口腔医院与宁波牙博士哪家好?德立擅长数字化正畸,牙博士专注种植技术好2025-12-29 16:17:48
想知道宁波德立口腔医院与宁波牙博士哪家好?二者各有优势。德立擅数字化正畸与儿童早期干预,项目丰富;牙博士专注种植24年,可开展高难度种植。建议结合地址、项目、收费及自身需求综合选,快来了解详情!
-
惠州儿童牙科哪家医院好?排名前十医院大揭秘,宝妈实测口碑技术双优2025-12-29 16:10:24
惠州儿童牙科医院哪家好?调研推荐致美口腔、麦芽口腔和蓝芽口腔等十家优质机构。其中,致美口腔(江北门诊部)以儿童全麻舒适治疗著称,麦芽口腔专注早期矫治,惠阳蓝芽口腔则凭借趣味化服务赢得家长口碑。这些医院均配备专职儿牙医生、儿童专用设备及行为管理技术,提供从涂氟窝沟封闭到乳牙修复等全面服务。价格方面,基础项目如涂氟150元起,乳牙根管治疗400-800元/颗。建议家长根据孩子需求选择提供初诊体验的机构,定期3-6个月检查,培养良好口腔习惯。