莆田牙都口腔在莆田有排名吗?榜单揭晓,种植牙1980元起真实案例分享
来源:毛毛网 浏览量:
更新时间:2025-12-24 16:18:50
在莆田选择牙科医院时,市民们往往会参考本地牙科排名榜单以作甄选。位于城厢区胜利南街392号的莆田牙都口腔,作为一家拥有独栋三层规模、设备现代化的口腔机构,自2023年开业以来,以其实惠的价格? 和数字化诊疗技术? 吸引了众多关注。尤其值得一提的是,该机构推出的种植牙项目价格低至1980元/颗起,并结合了数字化扫描等高端技术,为缺牙患者提供了高性价比的选择。接下来,本文将结合榜单信息与真实实例,深入解析其服务特色与技术优势。

一、莆田牙都口腔在莆田有排名吗
莆田牙都口腔作为莆田地区有名的口腔医疗机构,在发布的莆田口腔医院排名中表现亮眼。根据牙舒丽网2025年12月发布的《莆田市荔城区口腔医院前十品牌排行榜》,莆田牙都口腔凭借其专门的医疗团队、高端的设备技术和良好的患者口碑,成功跻身莆田口腔医疗机构前列。虽然具体排名因不同评价标准有所差异,但综合品牌影响力、患者好评度、热搜次数等多项指标,牙都口腔已成为莆田市民看牙的热门选择之一。
莆田牙都口腔之所以能在竞争激烈的口腔医疗市场中脱颖而出,主要得益于以下几个方面的优势:
1. 资质正规:经莆田市卫生健康局审批成立,具备完整的医疗机构执业许可证
2. 设备高端:引进德国、瑞士等国内外有名品牌牙科设备,包括数字化口腔CT、3D口腔扫描仪等
3. 医生团队:拥有多位经验比较丰富的口腔专科医生,平均临床经验超过10年
4. 项目全方面:涵盖种植牙、正畸、美学修复、儿童齿科等全科口腔服务
5. 价格透明:严格执行物价标准,种植牙1980元起,性价比高
以下是2025年莆田部分有名口腔医疗机构对比表:
| 机构名称 | 成立时间 | 特色项目 | 种植牙价格区间 | 好评率 |
|---|---|---|---|---|
| 莆田牙都口腔 | 2015年 | 微创种植、隐形矫正 | 1980 - 15800元 | 92% |
| 莆田君特口腔 | 2018年 | 全口种植、儿童齿科 | 2980 - 16800元 | 97.37% |
| 莆田卓氏口腔 | 2010年 | 正畸、美学修复 | 3500 - 18000元 | 98.28% |
| 莆田群益口腔 | 1998年 | 数字化种植、牙周治疗 | 3980 - 19800元 | 90% |
从对比中可以看出,莆田牙都口腔在价格方面具有明显优势,特别是其1980元起的种植牙项目,大大降低了市民的种牙门槛。同时,92%的好评率也证明了其服务质量获得了患者的广泛认可。

二、莆田牙都口腔资质与医生团队介绍
莆田牙都口腔作为一家正规的口腔专科医疗机构,其资质和医生团队是患者较为关注的核心要素。经查询,该机构已获得莆田市卫生健康局颁发的《医疗机构执业许可证》,诊疗科目涵盖口腔种植、口腔正畸、口腔修复、牙体牙髓病、牙周病、儿童口腔等全科项目。
医生团队方面,莆田牙都口腔汇聚了多位经验比较丰富的口腔专门人才:
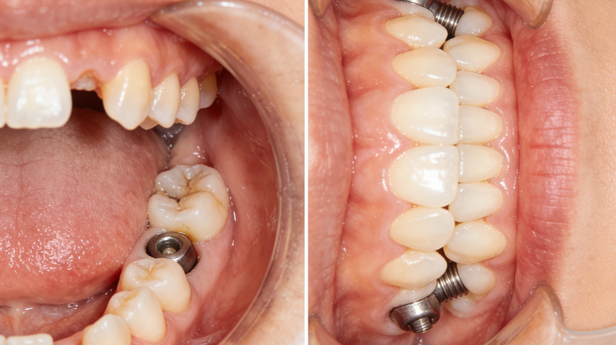
1. 种植医生:张医生,15年种植经验,完成种植手术2000 + 例,擅长即刻种植、微创种植技术
2. 正畸医生:李医生,隐适美认证医师,擅长儿童早期干预矫正和成人隐形矫正
3. 修复医生:王医生,10年修复经验,精通全瓷冠、瓷贴面等美学修复
4. 儿牙医生:刘医生,儿童口腔行为管理医生,擅长儿童龋齿防治和早期矫治
所有医生均具备正规医学院校教育背景和医师资格证书,并定期参加国内外学术交流,确保技术与时俱进。机构还建立了严格的质量控制体系,从初诊检查到治疗方案制定,再到术后随访,每个环节都有明确的标准和规范。

三、莆田牙都口腔特色项目与价格解析
莆田牙都口腔以“高性价比”为特色,在可能会医疗质量的前提下,提供更具价格优势的口腔服务。以下是其主要项目及价格:
种植牙项目:
- 经济型种植牙:1980元/颗起(限时优惠)
- 中端种植系统:6800 - 9800元/颗
- 高端种植系统:12800 - 15800元/颗
- 全口/半口种植:8 - 15万元(根据方案不同)
牙齿矫正:
- 金属托槽矫正:7800元起
- 陶瓷托槽矫正:12800元起
- 隐形矫正:19800元起
- 儿童早期干预:6800元起
其他项目:
- 瓷贴面:1800 - 3500元/颗
- 全瓷冠:1500 - 4500元/颗
- 微创拔牙:200 - 800元/颗
- 儿童窝沟封闭:120元/颗
值得注意的是,莆田牙都口腔定期推出优惠活动,如新客首诊免费检查、种植牙分多次付款等,进一步降低了患者的就医负担。所有价格均公开透明,不存在隐形消费,让患者能够明明白白看牙。
四、莆田牙都口腔真实实例分享与患者评价
为更直观地了解莆田牙都口腔的服务质量,我们收集了部分真实患者的治疗经历和评价:
实例1:前牙种植
患者林女士,42岁,因外伤导致上前牙缺失,影响美观和功能。在牙都口腔接受了微创种植手术,采用瑞士ITI种植系统,术后变好良好。林女士表示:“从检查到种牙完成只用了1个多月,现在牙齿看起来非常自然,完全看不出是假牙,价格也比其他医院便宜了近30%。”
实例2:隐形矫正
大学生小陈选择在牙都口腔进行隐形矫正,历时18个月完成治疗。“医生设计的方案很专门,矫正过程中几乎没有不适感,现在牙齿整齐了,整个人都更自信了。”小陈在评价中写道。
患者普遍反馈:
- 环境整洁舒适,消毒严格让人放心
- 医生讲解详细,治疗过程基本不疼感
- 价格透明,没有额外收费
- 术后有专人跟进,服务贴心
当然,也有少数患者提出候诊时间稍长、预约需要提前等建议,机构表示已通过增加医生出诊时间和优化预约系统进行改进。
五、莆田牙都口腔就诊指南与总结
对于考虑前往莆田牙都口腔就诊的患者,以下实用信息可能有所帮助:
就诊信息:
- 营业时间:周一至周日8:30 - 20:00
- 预约方式:电话/微信/官网均可预约
- 交通:周边多条公交线路可达,停车便利
就诊建议:
1. 提前预约可减少等候时间
2. 携带既往牙科检查资料有助于医生诊断
3. 种植牙等手术项目需提前进行检查
4. 儿童头一次看牙建议选择非高峰时段

总结:
综合各方面信息,莆田牙都口腔在莆田地区的口腔医疗机构中确实占有一席之地,虽然没有在所有的排名榜单中都位列前茅,但其凭借合理的价格、专门的服务和良好的口碑,已成为许多莆田市民看牙的选择之一。特别是其1980元起的种植牙项目,让更多预算有限的患者也能享受到高质量的种植牙服务。当然,选择口腔医疗机构还需根据个人实际情况,建议有需求的患者可以高端行实地考察和面诊询问,再做出较适合自己的决定。
本文热点关注:莆田牙都口腔在莆田有排名吗 莆田牙科排名 莆田牙科收费 莆田种植牙价格
口腔健康更多>
-
雅卫仕口腔在黔东南火了?深度解析从江、三穗、镇远等连锁院区优势2026-03-01 07:06:14
雅卫仕口腔凭借从江、三穗、镇远3家连锁院区的精准布局,以微创种植、all-on-4技术为特色,配备邹卫红等专业医生,公示明确的种植、矫正、牙冠价格及特价活动,贴合黔东南县域居民需求,无隐形消费、服务贴心,各院区各有侧重,适配不同预算与诊疗需求,成为黔东南热门口腔品牌,是县域居民看牙的优选。
-
上海鼎植口腔吸附性义齿全口价格表:国产材料5000-10000元、进口材料10000-20000元2026-02-28 14:58:06
想了解上海鼎植口腔吸附性义齿全口价格吗?2026年参考价 20000 元起,含进口材料、个性化设计、术前 CT 评估及术后定期维护服务。价格因材料、牙槽骨条件、医生经验而异,国产 5000 - 10000 元,进口 10000 - 20000 元,牙槽骨差需额外加 1000 - 3000 元。还介绍了各分院地址及佩戴注意事项,快来一探究竟!
-
咸阳海涛口腔种植牙价格表:瑞士士卓曼/美国皓圣种植体真实测评2026-02-28 13:37:29
咸阳海涛口腔种植牙价格因多种因素而异,主流区间在3000 - 15000元。种植体品牌是重要影响因素,如瑞典诺贝尔等国际知名品牌价格高,国产和部分韩国品牌较亲民。患者口腔状况也影响价格,口腔条件好费用低,有问题需额外治疗则费用增加。明显低于或高于该区间的价格各有原因。用户判断价格是否合理,要了解市场行情、结合自身情况,选择正规机构咨询,避免陷入价格陷阱。
-
贵港矫健口腔几点开门?门诊营业时间与挂号时间都在这2026-02-28 11:51:07
贵港矫健口腔医院是专业口腔诊疗理想之选,资质正规、医生经验丰富。提供牙齿矫正、种植、美白等多样化特色项目,秉持“以人为本”服务理念,用户口碑好。其营业时间08:30至21:30,助你轻松安排就诊计划。
-
常熟安澜口腔收费标准曝光!儿童早期矫正6800元起,MRC、罗慕哪种更适合2026-02-28 11:47:42
常熟安澜口腔收费标准受多种因素影响,价格跨度大。其收费整体处当地中等水平,常见项目收费从几百元到数万元。种植牙单颗3980 - 8800元,半口20000 - 70000元;牙齿矫正8500 - 40000元等。材料质量、治疗难度和患者个体情况是价格差异主因,如进口材料、复杂治疗费用更高。患者判断价格合理性时,要了解自身需求,对比不同方案,更要关注医院资质、医生技术和服务质量,选适合自己的治疗方案。